Maison Dental Specialists | TTDI | KUALA LUMPUR
Braces Kuala Lumpur
At Maison Dental, we believe a great smile does more than enhance appearance, it supports optimal oral health, boosts confidence, and improves overall quality of life. If you’re considering straightening your teeth or correcting bite issues with braces Kuala Lumpur, you’ll be in expert hands with our UK-trained orthodontist, Dr. Goh Sim Ying, who leads our orthodontic care with precision and compassion. Our dedicated team is here to guide you through every step of your smile journey.
Why Braces Kuala Lumpur?
- Improved Oral Function: Correct bite alignment aids chewing and speaking, and reduces strain on teeth and jaws.
- Enhanced Aesthetics & Self‐Confidence: Straighter teeth and a healthier smile can positively affect your personal, social, and professional life.
- Long‐Term Oral Health Benefits: Proper alignment makes cleaning easier, reducing risks of cavities, gum disease, and abnormal wear.
- Better Jaw and Facial Harmony: Orthodontics can help balance facial proportions and reduce discomfort caused by misalignment.
- Improved Oral Function: Correct bite alignment aids chewing and speaking, and reduces strain on teeth and jaws.
Our Braces Treatments
Metal Braces
Conventional metal braces uses metal brackets, wires, and elastics bands to straighten teeth and fix bite problems. They are highly effective and can be used in most cases.
Ceramic Braces
Ceramic braces offer the same reliable results as metal braces but with tooth-colored brackets that blend in for a more subtle, aesthetic look.
Self-ligating Braces (Damon Braces)
Self-ligating braces use a built-in clip instead of elastic bands, reducing friction and often allowing for faster, more comfortable treatment with fewer visits.
Clear Aligners / Invisalign
Clear aligners are removable, transparent trays that gradually shift teeth, providing an almost invisible and convenient alternative to traditional braces.
Braces for Teens
Since teens are still growing, it’s an ideal time to guide the alignment of their teeth and jaws for long-term results. Modern braces are more comfortable and customizable than ever, with options like colored bands that let teens express their personal style.
Functional or Removable Appliances
Removable appliances help correct minor bite issues and guide jaw growth, especially useful in growing children and teens.
Interceptive Treatment for Kids
Interceptive orthodontic treatment helps guide children’s teeth and jaw development early, preventing bigger problems and reducing the need for complex braces later on.
Expansion Device
Expansion appliances like Upper Removable Appliance (URA), Rapid Maxillary Expander (RME), and Miniscrew-Assisted Rapid Palatal Expander (MARPE) gently widen the jaws to make more room for teeth and improve your bite.
Missing or Impacted teeth
Orthodontic care for missing or impacted teeth involves creating space and guiding eruption to achieve proper alignment and function.
Jaw Surgery / Orthognathic Treatment
Orthognathic treatment combines braces with corrective jaw surgery to realign jaws, improving both function and facial appearance in severe cases.
Adult Gum Disease Cases
Orthodontics can correct misaligned teeth caused by gum disease, improving oral hygiene and helping reduce its progression and impact. Our periodontist works closely with us to provide comprehensive care.
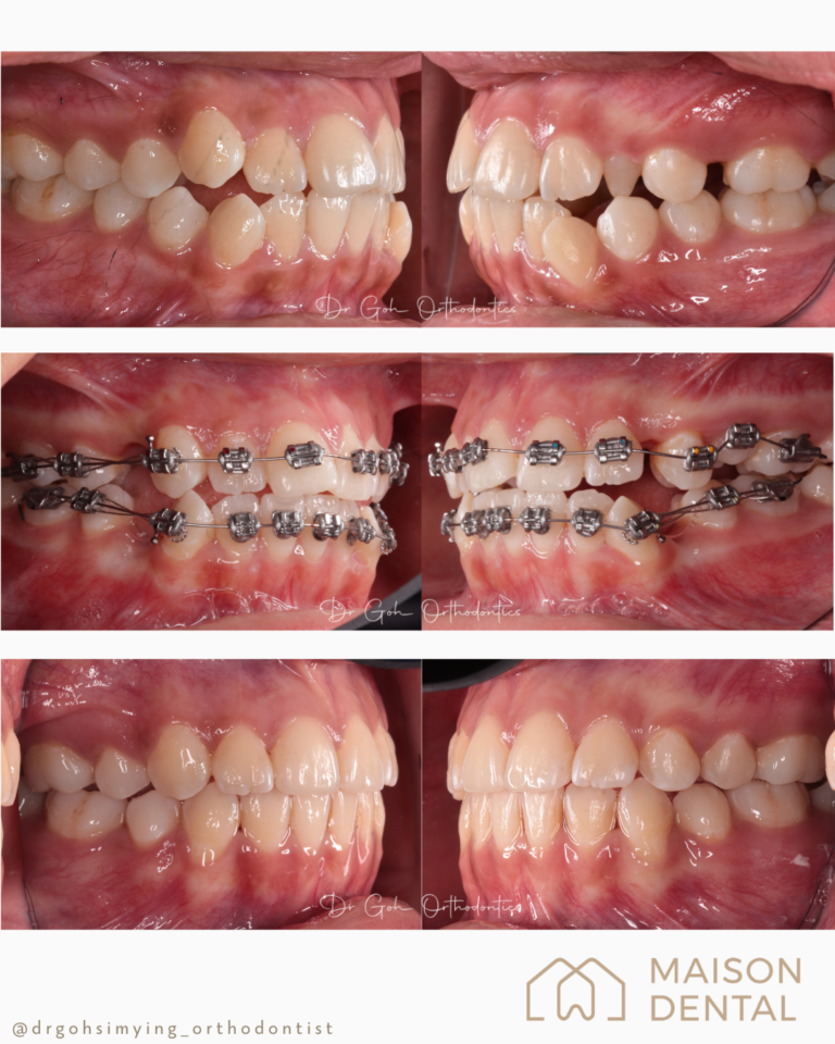
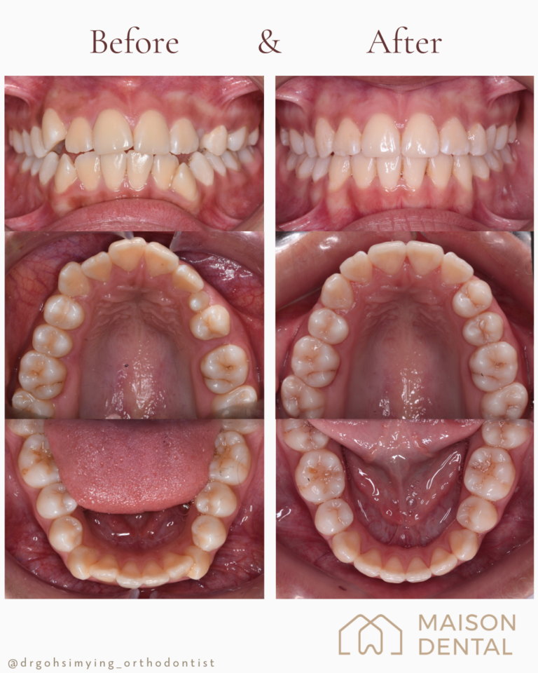
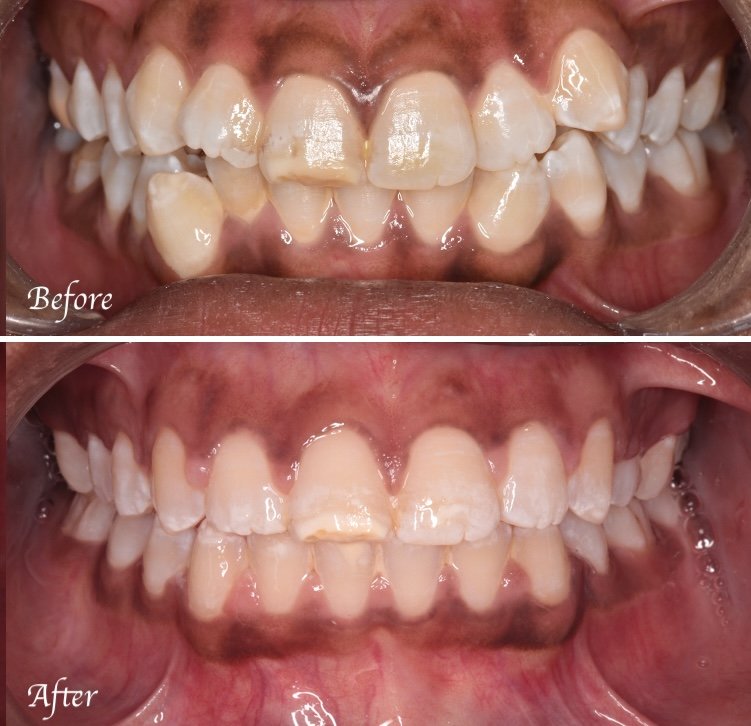
Cases














Meet Our Team
Our Dental Specialists
Dr Goh Sim Ying
Specialist Orthodontist
DDS (USM),
MFDS RCS (Edinburgh),
MClinDent Orthodontics (London),
MOrtho RCS (England)
Dr Tan Hong Jin
Specialist Periodontist
DDS (USM),
MFDS RCS (Edinburgh),
MClinDent Distinction Periodontology (London),
CCST Periodontology (Europe),
MPerio RCS (Edinburgh), M Implant Dentistry(Edinburgh),
Specialist Periodontist (UK)
Dr Tengku Maryam Fatimah
Specialist Paediatric Dentist
BDS (Adelaide),
DDent Paediatric Dentistry (London),
MPaed Dent RCS (Edinburgh)
Experienced and Highly Qualified Team
We are a team of highly qualified dental specialists trained abroad to treat a wide range of cases, from simple to complex. With years of training and experience, we are committed to providing holistic care to our patients, offering individual treatments tailored to their unique needs.
Technology and Equipment
At Maison Dental TTDI, we are dedicated to providing the best for our patients. We utilize the latest technology and equipment to ensure accurate diagnoses and optimal treatment outcomes.
Comfort
We have made every effort to ensure that our clinic is as clean and comfortable as possible. Our goal is for you to feel calm, relaxed, and at home during your dental visit.
Quality
We place great emphasis on delivering high-quality dental care. All of our equipment and instruments are thoroughly disinfected and sterilized before each use.
Location
Our clinic is located in a peaceful and charming neighborhood in the heart of Klang Valley, easily accessible via LDP and SPRINT highways. Additionally, we have one parking spot available for our patients right outside the clinic.
Personalised Patient Care
We believe in the principle of "less is more", which is why we take the time to truly understand your specific dental concerns and goals, ensuring that every treatment plan is tailored to suit your dental problems.
