Maison Dental Specialists | TTDI | KUALA LUMPUR
Who Are We?
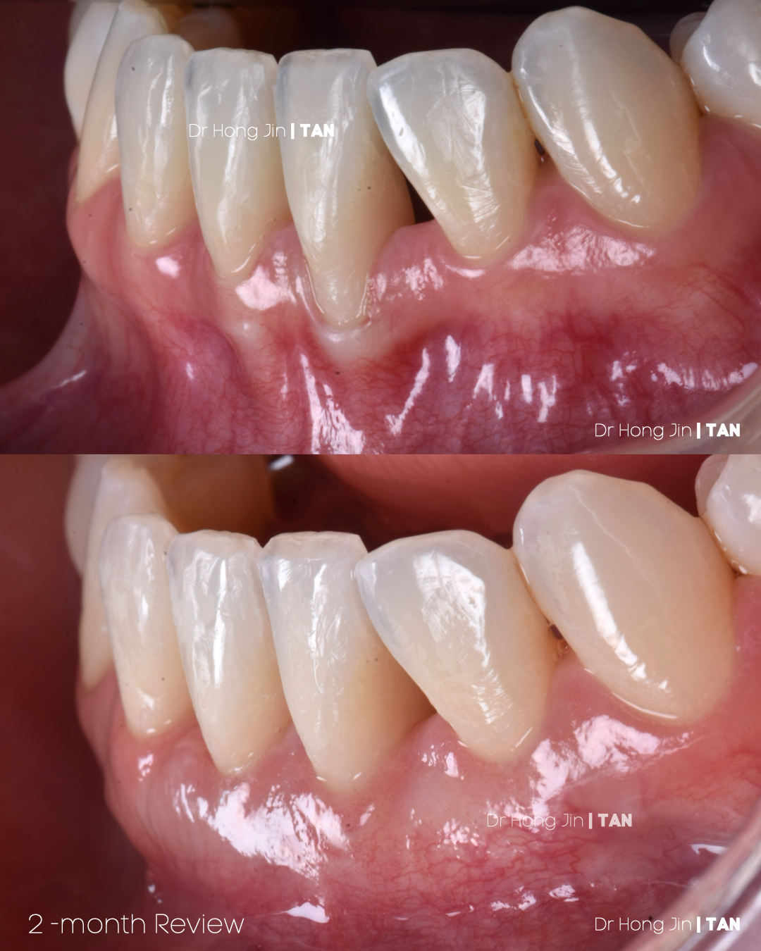
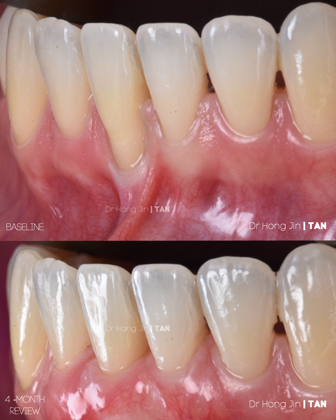
Maison Dental Specialists is a leading dental gum specialist Kuala Lumpur, offering expert care for gum diseases, recession, and implant-related conditions. Led by UK-certified periodontist Dr. Tan Hong Jin, the clinic provides advanced treatments in a patient-focused setting. Recognized as a top Kuala Lumpur gum dental specialist, Maison Dental combines international expertise with cutting-edge technology to deliver exceptional periodontal care.
A dental gum specialist Kuala Lumpur focuses on diagnosing and treating gum-related conditions such as gingivitis, periodontitis, and gum recession. These specialists perform procedures like scaling and root planning, gum grafting, and dental implant placement to restore and maintain gum health. Their expertise ensures effective management of complex periodontal issues, promoting overall oral well-being. Consulting a Kuala Lumpur gum dental specialist offers several advantages.
Patients receive personalized treatment plans tailored to their specific needs, leading to improved gum health and prevention of tooth loss. Advanced techniques employed by these specialists enhance treatment outcomes, ensuring long-term oral health. For those experiencing gum recession, a gum grafting specialist Kuala Lumpur can provide effective solutions to restore gum tissue and protect tooth roots. Seeking care from a gum dentist in KL ensures access to specialized knowledge and skills for optimal periodontal treatment.



Meet Our Team
Our Dental Specialists
Dr Tan Hong Jin
Specialist Periodontist
DDS (USM),
MFDS RCS (Edinburgh),
MClinDent Distinction Periodontology (London),
CCST Periodontology (Europe),
MPerio RCS (Edinburgh), M Implant Dentistry(Edinburgh),
Specialist Periodontist (UK)
Dr Goh Sim Ying
Specialist Orthodontist
DDS (USM),
MFDS RCS (Edinburgh),
MClinDent Orthodontics (London),
MOrtho RCS (England)
Dr Tengku Maryam Fatimah
Specialist Paediatric Dentist
BDS (Adelaide),
DDent Paediatric Dentistry (London),
MPaed Dent RCS (Edinburgh)
Experienced and Highly Qualified Team
We are a team of highly qualified dental specialists trained abroad to treat a wide range of cases, from simple to complex. With years of training and experience, we are committed to providing holistic care to our patients, offering individual treatments tailored to their unique needs.
Technology and Equipment
At Maison Dental TTDI, we are dedicated to providing the best for our patients. We utilize the latest technology and equipment to ensure accurate diagnoses and optimal treatment outcomes.
Comfort
We have made every effort to ensure that our clinic is as clean and comfortable as possible. Our goal is for you to feel calm, relaxed, and at home during your dental visit.
Quality
We place great emphasis on delivering high-quality dental care. All of our equipment and instruments are thoroughly disinfected and sterilized before each use.
Location
Our clinic is located in a peaceful and charming neighborhood in the heart of Klang Valley, easily accessible via LDP and SPRINT highways. Additionally, we have one parking spot available for our patients right outside the clinic.
Personalised Patient Care
We believe in the principle of "less is more", which is why we take the time to truly understand your specific dental concerns and goals, ensuring that every treatment plan is tailored to suit your dental problems.
Restore your smile with Maison Dental, your trusted gum grafting specialist Kuala Lumpur. Schedule your consultation with our expert gum dentist in KL today.
